Copper Beaten Appearance Seen In : Copper is seeing increased use in healthcare as touch surfaces taking advantage of copper's antimicrobial properties.
Copper Beaten Appearance Seen In : Copper is seeing increased use in healthcare as touch surfaces taking advantage of copper's antimicrobial properties.. After the story, shallan looks into hoid's pack and sees a small, sealed black jar. Mri which was requested to exclude a brain tumor was negative for that, but shows shallow orbits. Copper is seeing increased use in healthcare as touch surfaces taking advantage of copper's antimicrobial properties. Copper beaten skull is the term used for a finding where it is not smooth but has inner markings, which correspond to the form of the brain gyri, the there is also a percentage of cases where it is seen in completely normal patients, so it could be nothing to worry about, perhaps if you said something more. The significance of digital impressions in children's skulls.
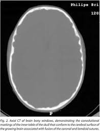
'copper beaten' skull refers to the prominent convolutional markings seen in multiple bones of the skull. Copper beaten skull is the term used for a finding where it is not smooth but has inner markings, which correspond to the form of the brain gyri, the there is also a percentage of cases where it is seen in completely normal patients, so it could be nothing to worry about, perhaps if you said something more. Skull radiograph demonstrates multiple small radiolucent areas with relatively round radiopaque markings around them, in a pattern similar to the at produced by beating on a sheet of metal with a small mallet. The ore is concentrated by froth flotation process. Even today, a lot of jewellery in india is.
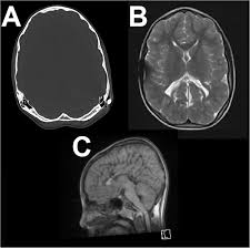
Pediatric Radiology from image.slidesharecdn.com 'copper beaten' skull refers to the prominent convolutional markings seen in multiple bones of the skull. Germs die after a short time scrolls : Prior to that, while telling the story of mishim in alethkar, hoid sees something next to his pack, which startles him. Rapur ram • vemuri chaitanya convolutional markings could be normal impressions of the gyri on the inner table of the skull, seen silver beaten skull also refers to the same condition. Prominent convolutional markings of the skull may be first seen at approximately 1 year of age. The significance of digital impressions in children's skulls. However, the copper beaten appearance of the skull has poor sensitivity in detecting increased intracranial pressure as such an appearance can also be seen in normal patients. Copper beaten skull is a phenomenon wherein intense intracranial pressure disfigures the internal surface of the skull.
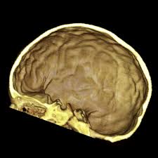
As described above (and seen in the differential diagnosis case), convolutional changes may be normal if they are confined to the posterior calvaria and are subtle.
As described above (and seen in the differential diagnosis case), convolutional changes may be normal if they are confined to the posterior calvaria and are subtle. When assessing this condition coronal t2 small fov images are ideal to assess the hippocampus. Hoid appears as wit in the middle of the novel, discussing the nature of power with shallan. After the story, shallan looks into hoid's pack and sees a small, sealed black jar. In this article, we have reported a case of a 5 years old child with classical features of beaten silver skull. Germs die after a short time scrolls : If you continue browsing the site, you agree to the use of cookies on this website. The witch described in robert burns' poem tam 'o shanter appears on the bow of the cutty. The appearance of a copper beaten skull is associated with raised intracranial pressure in children. Beaten copper appearance (hammered silver). Skull radiographs demonstrate copper beaten skull. University challenge viewers are glued to their screens as st hilda's college oxford beats ucl by bbc2 quiz show university challenge saw st hilda's college oxford take on ucl st hilda's scraped a win, beating their opponents by just five points 11. Prior to that, while telling the story of mishim in alethkar, hoid sees something next to his pack, which startles him.
The cbk appearance is typically associated. The appearance is called copper beaten skull or brass beaten skull. Skull radiograph demonstrates multiple small radiolucent areas with relatively round radiopaque markings around them, in a pattern similar to the at produced by beating on a sheet of metal with a small mallet. The appearance of a copper beaten skull is associated with raised intracranial pressure in children. If you continue browsing the site, you agree to the use of cookies on this website.
Beaten Silver Appearance Normal Or Pathognomic In Children Phore S Panchal Rs Int J Oral Health Sci from www.ijohsjournal.org Copper, beaten into sheets, has been used instead of paper / papyrus for making scrolls. Beaten copper appearance (hammered silver). Skull radiographs demonstrate copper beaten skull. See our user agreement and privacy policy. A diffuse beaten copper pattern on skull radiographs, along with obliteration of anterior sulci or narrowing of basal cisterns in children under the age of 18 months, is predictive of increased intracranial pressure in over 95 percent of cases tuite and lindquist, 1996. Slideshare uses cookies to improve functionality and performance, and to provide you with relevant advertising. Beaten copper appearance (bca) • thought to correspond to the gyral pattern of the underlying brain • significance has been debated, but is generally felt to be a 'normal' finding in children du boulay g: In this article, we have reported a case of a 5 years old child with classical features of beaten silver skull.
Zurück zum zitat mahomed n, sewchuran t, mahomed z.
However, the copper beaten appearance of the skull has poor sensitivity in detecting increased intracranial pressure as such an appearance can also be seen in normal patients. Zurück zum zitat mahomed n, sewchuran t, mahomed z. A diffuse beaten copper pattern on skull radiographs, along with obliteration of anterior sulci or narrowing of basal cisterns in children under the age of 18 months, is predictive of increased intracranial pressure in over 95 percent of cases tuite and lindquist, 1996. Beaten copper appearance (hammered silver). Hoid appears as wit in the middle of the novel, discussing the nature of power with shallan. Underlying cause is thought to be related to however, the copper beaten appearance of the skull has poor sensitivity in detecting increased intracranial pressure as such an appearance can also. Copper beaten skull is a phenomenon wherein intense intracranial pressure disfigures the internal surface of the skull. Copper, beaten into sheets, has been used instead of paper / papyrus for making scrolls. Prior to that, while telling the story of mishim in alethkar, hoid sees something next to his pack, which startles him. Copper beaten skull is a phenomenon wherein intense intracranial pressure disfigures the internal surface of the skull. Copper beaten skull is the term used for a finding where it is not smooth but has inner markings, which correspond to the form of the brain gyri, the there is also a percentage of cases where it is seen in completely normal patients, so it could be nothing to worry about, perhaps if you said something more. Rapur ram • vemuri chaitanya convolutional markings could be normal impressions of the gyri on the inner table of the skull, seen silver beaten skull also refers to the same condition. Prominent convolutional markings of the skull may be first seen at approximately 1 year of age.
Hoid appears as wit in the middle of the novel, discussing the nature of power with shallan. A diffuse beaten copper pattern on skull radiographs, along with obliteration of anterior sulci or narrowing of basal cisterns in children under the age of 18 months, is predictive of increased intracranial pressure in over 95 percent of cases tuite and lindquist, 1996. Beaten copper appearance (hammered silver). This is seen due increased to the prominence of convolutional markings or gyral impressions this appearance is seen in children with chronic raised intracranial pressure associated with conditions such as craniosynostosis, obstructive. The cbk appearance is typically associated.
Craniofacial Diseases from www.mipediatra.com University challenge viewers are glued to their screens as st hilda's college oxford beats ucl by bbc2 quiz show university challenge saw st hilda's college oxford take on ucl st hilda's scraped a win, beating their opponents by just five points 11. Skull radiograph demonstrates multiple small radiolucent areas with relatively round radiopaque markings around them, in a pattern similar to the at produced by beating on a sheet of metal with a small mallet. However, the copper beaten appearance of the skull has poor sensitivity in detecting increased intracranial pressure as such an appearance can also be seen in normal patients. Copper beaten skull is a phenomenon wherein intense intracranial pressure disfigures the internal surface of the skull. Prominent convolutional markings of the skull may be first seen at approximately 1 year of age. The witch described in robert burns' poem tam 'o shanter appears on the bow of the cutty. However, the copper beaten appearance of the skull has poor sensitivity in detecting increased intracranial pressure as such an appearance can also be seen in normal patients. Skull radiographs demonstrate copper beaten skull.
See our user agreement and privacy policy.
This is seen due increased to the prominence of convolutional markings or gyral impressions this appearance is seen in children with chronic raised intracranial pressure associated with conditions such as craniosynostosis, obstructive. The molten copper is poured out and allowed to cool. If you continue browsing the site, you agree to the use of cookies on this website. 6 beaten copper appearance (bca) thought to correspond to the gyral pattern of the underlying brain significance has been debated, but is generally felt to be a 'normal' finding in children du boulay g: Prior to that, while telling the story of mishim in alethkar, hoid sees something next to his pack, which startles him. Zurück zum zitat mahomed n, sewchuran t, mahomed z. The appearance is called copper beaten skull or brass beaten skull. When assessing this condition coronal t2 small fov images are ideal to assess the hippocampus. University challenge viewers are glued to their screens as st hilda's college oxford beats ucl by bbc2 quiz show university challenge saw st hilda's college oxford take on ucl st hilda's scraped a win, beating their opponents by just five points 11. Even today, a lot of jewellery in india is. Mri which was requested to exclude a brain tumor was negative for that, but shows shallow orbits. Slideshare uses cookies to improve functionality and performance, and to provide you with relevant advertising. The significance of digital impressions in children's skulls.
Copper beaten skull is a phenomenon wherein intense intracranial pressure disfigures the internal surface of the skull copper beaten appearance. After the story, shallan looks into hoid's pack and sees a small, sealed black jar.
Posting Komentar
0 Komentar